Skip to content

Board Case Oral Exam (BCOE)

The web-based BCOE exam will be conducted live with two examiners.  The exam is an assessment of the examinee's evaluation and treatment plan for one case provided by the ABO. This involves one complete set of case records presented to the examinee to evaluate and treatment plan. 

The BCOE Examinee Worksheet will be provided for the case which contains four major areas that will be discussed by the examiners. The BCOE is an oral exam; therefore, this worksheet will not be graded.

Sample Case

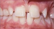
Photographs

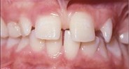
side front front smile
Lateral Portrait Frontal Portrait Frontal Portrait Smile
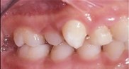
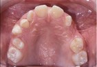
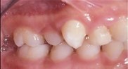
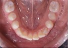
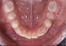
front view left buccal maxillary mandibular
Right Buccal View Frontal View Left Buccal View Maxillary View Mandibular View


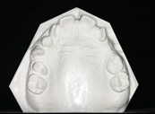
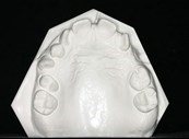
Dental Casts

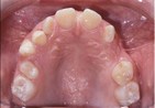
right buccal frontal left buccal upper mandibular
Right Buccal View Frontal View Left Buccal View Maxillary View Mandibular View


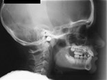
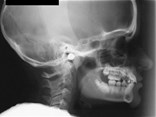
X-Rays and Cephalometric Tracings

pan xray ceph tracing measurements patienthist
Panoramic Intraoral Lateral Ceph Ceph Tracing Cephalometric Summary Patient History